Our Gallery Of Some Of The Work We Do

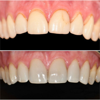
Veneers

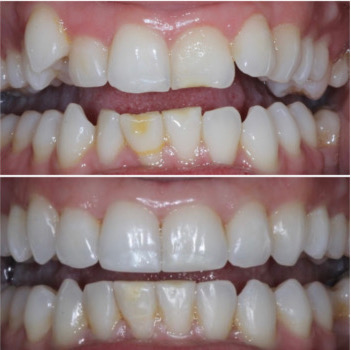
Veneers

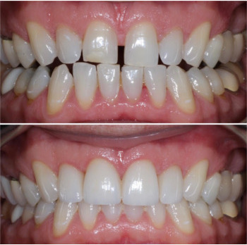
Veneers

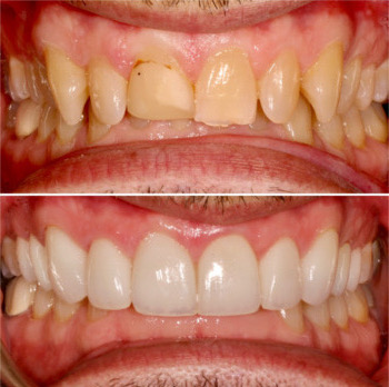
Veneers

Veneers

Veneers

Dental Implants

Dental Implants

All-On-4 Implants

Invisalign

Our Dental Practice is Located in the Financial District of Downtown San Francisco

For more information about our dentistry procedures in San Francisco, or to schedule an appointment, please call our office at (415) 693-9139 or send an email to: info@unionsquaredental.com.

 

Have Questions?